Η AI εντοπίζει τον καρκίνο του μαστού 5 χρόνια νωρίτερα από τα συμπτώματα
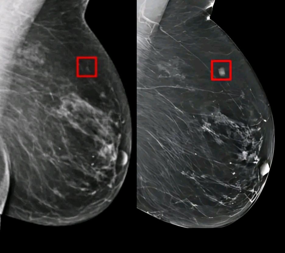
Φανταστείτε να βρείτε καρκίνο πριν καν προλάβει να αναπτυχθεί. Ερευνητές στο Πανεπιστήμιο Duke δημιούργησαν το AsymMirai, ένα AI που αναλύει τις μαστογραφίες με καινοτόμο τρόπο – εντοπίζοντας λεπτές ασυμμετρίες μεταξύ αριστερού και δεξιού στήθους.
Αυτός ο δείκτης που παραβλέπεται αποδείχθηκε ότι είναι ένας ισχυρός προγνωστικός. Σε μια μελέτη πάνω από 210.000 μαστογραφίες, η AsymMirai μπόρεσε να προβλέψει τον κίνδυνο καρκίνου του μαστού έως και πέντε χρόνια νωρίτερα – με ακρίβεια συγκρίσιμη με πιο σύνθετα συστήματα, αλλά πολύ πιο εύκολη για τους γιατρούς.
Το αποτέλεσμα; Εξυπνότερη εξέταση, έγκαιρη παρέμβαση και σώθηκαν ζωές. Αυτό είναι το είδος του προβλήματος που δημιουργήθηκε η AI για να λύσει.
